Еда из пробирки: что такое клеточное мясо и почему оно может заменить обычное

Население Земли растёт, климат меняется, и пищевые ресурсы постепенно перестают успевать за спросом. По прогнозам, к 2030 году глобальное потребление мяса увеличится на 14%. Чтобы удовлетворить этот спрос, не разрушив планету, возникла новая отрасль — клеточное сельское хозяйство. Это технология, которая позволяет производить продукты животного происхождения (мясо, молоко, яйца) с использованием культуры клеток. Разберёмся, как это работает, насколько безопасно и какие проблемы отрасли ещё предстоит решить.

Что такое искусственное мясо и почему оно заменит обычное
© Zinkevych/iStock.com

Как это работает? Две разные технологии

Существует два разных технологических подхода по созданию искусственной пищи. Они не столько конкуренты, сколько части одной экосистемы. Первое направление — это культивируемое (клеточное) мясо, а второе — прецизионная ферментация. Разберёмся подробнее в каждой из технологий.

Культивируемое мясо

Этот метод позволяет выращивать настоящие животные ткани, такие как мышечные волокна и жир, в лабораторных условиях. Процесс начинается со сбора небольшой линии животных клеток, например, коровы или курицы. Эти клетки помещают в биореактор — большую стерильную ёмкость, где они размножаются и растут вне организма животного.

Самый важный и дорогой элемент в этом процессе — это питательная среда. Это «бульон», который даёт клеткам всё необходимое для жизни и деления. Он состоит из базовых питательных веществ — глюкозы, аминокислот и витаминов — и специальных добавок, вроде факторов роста. Последние управляют поведением клеток, заставляя их делиться или превращаться в мышцы.

© Wikimedia Commons

Первая котлета из культивируемого мяса

Сначала для создания такого типа мяса использовали фетальную бычью сыворотку, что было дорого и этически проблематично. Позднее индустрия перешла на среды без сыворотки и животных компонентов, что сделало процесс дешевле и стабильнее. Главной проблемой такого мяса является отсутствие текстуры — по консистенции оно больше напоминает фарш. Для создания текстуры, как у стейка или филе, специалисты используют каркасы, называемые скаффолдами. Они выступают в качестве съедобной опоры, на которой клетки растут, объединяясь в сложные структуры, похожие на мышечные волокна.

Прецизионная ферментация

Это более зрелая технология, похожая на традиционное пивоварение или производство вина. Но вместо алкоголя она производит чистые, функциональные белки или жиры.

Для этого берут микроорганизмы — дрожжи, грибы или бактерии — и генетически модифицируют их. В ДНК дрожжей вставляют ген, который несёт «инструкцию» по производству, например, белка коровьего молока.

Эти «запрограммированные» дрожжи помещают в реактор, кормят их сахаром, и они производят нужный белок. Затем этот белок очищают от самих микроорганизмов и получают чистый порошок, идентичный животному.

Эта технология — не новинка. С 1980-х годов её используют для производства инсулина и сычужного фермента для сыроделия. В 21 веке прецизионная ферментация уже используется для создания молочных белков и яичного белка.

Зачем всё это нужно?

Основной драйвер этого процесса — необходимость снизить урон, который наносит планете традиционное животноводство. Вот лишь несколько проблем традиционного животноводства, которые может решить искусственное мясо:

  • Экология. Исследования жизненного цикла (LCA) показывают, что у клеточного сельского хозяйства огромные преимущества. Культивируемое мясо, при использовании возобновляемой энергии, может сократить выбросы парниковых газов до 92% по сравнению с говядиной. Ему требуется на 90–95% меньше земли и до 96% меньше воды. Точное брожение для молочных белков также показывает снижение выбросов на 96% и землепользования на 92%.
  • Этика. Технология полностью устраняет необходимость в промышленном разведении и забое животных, решая проблему их страданий на фермах.
  • Здоровье и безопасность. Продукты выращивают в контролируемых стерильных условиях, что снижает риск пищевых заболеваний вроде сальмонеллы или кишечной палочки. Также в производстве не используются антибиотики. Это помогает бороться с глобальной проблемой устойчивости к антибиотикам, во многом связанной с животноводством.
© Wikimedia Commons

Первые колбаски из культивируемого мяса, 2023 год

Конечно, есть нюансы. Чтобы быть по-настоящему «зелёной», технология критически зависит от возобновляемых источников энергии. Сами по себе биореакторы очень энергозатратны.

Проблемы искусственного мяса

Если всё так хорошо, почему полки магазинов до сих пор не завалены культивируемым мясом? Путь к тарелке блокируют несколько серьёзных барьеров.

Цена и масштаб

Стоимость производства резко упала: если первый лабораторный бургер в 2013 году стоил $330 тысяч, то спустя 20 лет цена за килограмм снизилась до десятков долларов. Но это всё ещё слишком дорого для массового рынка.

Главный виновник — та самая питательная среда, а точнее, факторы роста в ней. Это очень дорогие рекомбинантные белки, которые заставляют клетки делиться. Индустрия ищет способы их удешевить: например, производить их с помощью более дешёвых систем, таких как дрожжи или растения или создавать инновационные среды, которые могут снизить эту статью расходов более чем на 99%.

Вторая проблема — масштаб. Она заключается не только в сложности строительства таких производств, но и в риске того, что спрос на производимую ими продукцию будет ограничен.

Политическое сопротивление

Это барьер, о котором говорят меньше, но он очень серьёзен. Хотя федеральные органы США (FDA и USDA) одобрили культивируемое мясо как безопасное, а Сингапур и Австралия разрешили его продажу, отрасль столкнулась с мощным лобби традиционных производителей говядины.

В нескольких штатах США (Флорида, Алабама, Техас и др.) приняли законы, запрещающие производство и продажу культивируемого мяса. Этот «пояс запретов» создан под давлением политиков, тесно связанных с традиционным животноводством. Такое законодательное противодействие тормозит инвестиции и подрывает доверие потребителей.

Так это «натуральное»?

Проблема в том, что сам термин «натуральный» крайне расплывчат. Международные пищевые стандарты, такие как Codex Alimentarius, даже не признают этот термин значимым для характеристики продукта.

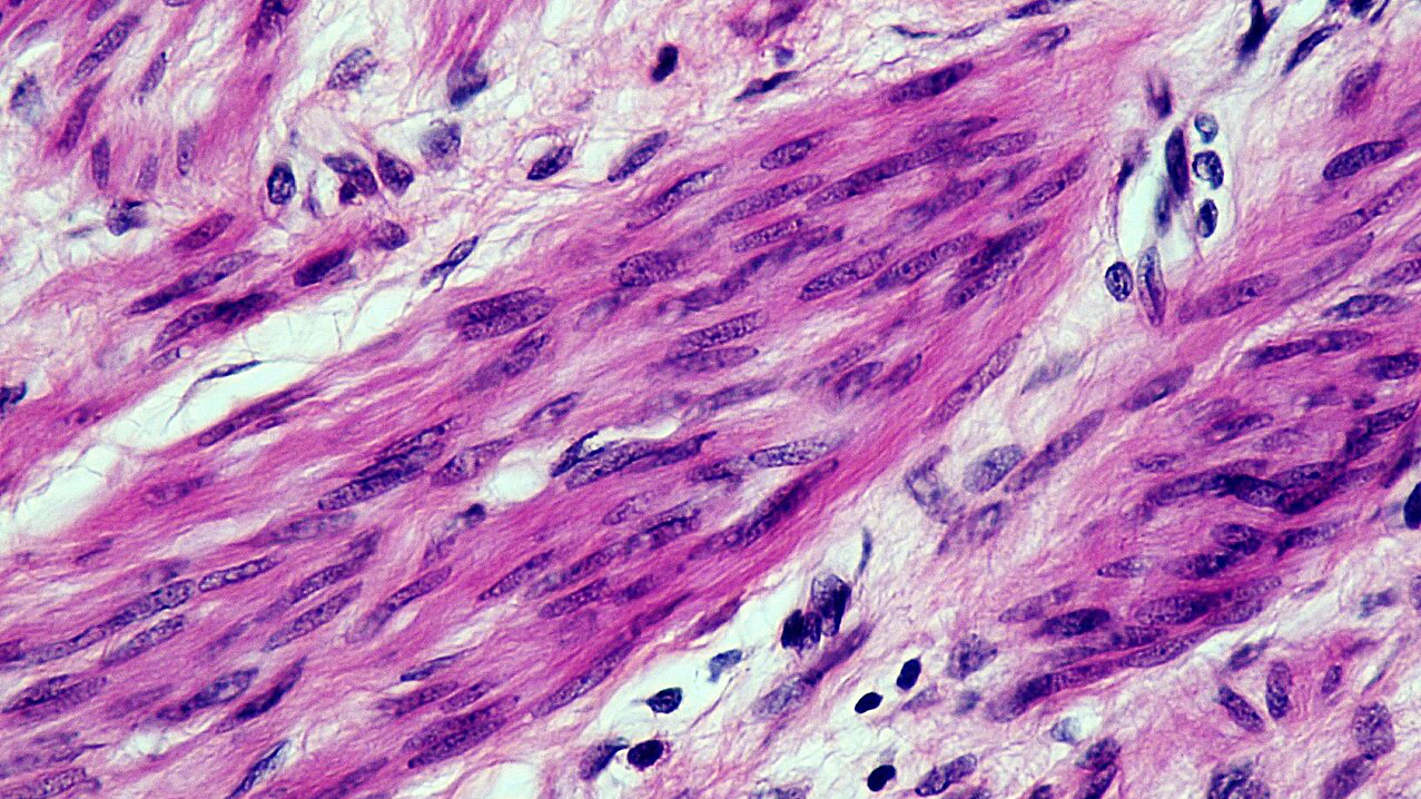
© Wikimedia Commons

Клетки мышечной ткани, выращенные в лаборатории, под микроскопом

Культивируемое мясо производится в биореакторах и на заводах, что воспринимается как «неестественное». В итоге, даже зная об экологических плюсах, люди могут относиться к такому мясу негативно.

Оппоненты активно называют его «высокопереработанным продуктом», что пугает потребителей, и так скептически настроенных к современным диетам. Восприятие прецизионной ферментации также страдает: потребители беспокоятся из-за его связи с ГМО, ведь дрожжи для производства белка генетически модифицируют.

Что такое ГМО и почему еда не может изменить гены

Парадокс безопасности

«Искусственное» мясо, выращенное в стерильных условиях, может быть гораздо чище и безопаснее «натурального». В нём гарантированно нет антибиотиков, гормонов, сальмонеллы или следов фекалий, которые могут попасть на тушу при забое.

Поэтому выбор названия так важен. Исследования показывают, что термин «мясо без убоя» звучит для людей привлекательнее, чем «культивируемое мясо».

В итоге

Клеточное сельское хозяйство — эффективный путь для «декарбонизации» производства белка и удовлетворения растущего мирового спроса на мясо.

Продукты с белками прецизионной ферментации уже присутствуют на полках магазинов, и они помогают удешевлять функциональные ингредиенты. Культивируемое мясо — это следующий этап. И его успех зависит от решения сложных инженерных задач по снижению цены питательной среды и масштабированию биореакторов.

Однако главные битвы развернутся не в лабораториях, а в парламентах и в умах потребителей. Политическое лобби и глубоко укоренившийся страх перед «неестественным» — не менее серьёзные барьеры, чем высокая цена факторов роста.

Видео по теме от RUTUBE